
Oxford University researchers have discovered that learned knowledge is stored in different brain circuits depending on how we acquire it.
Neuroscientists say they have identified how people can have a “crash in visual processing” — a bottleneck of feedforward and feedback signals that can cause us not to be consciously aware of stimuli that our brain recognized.
A new study shows that an innovative strategy for treating Parkinson’s disease has proven successful in neurons that derive from people living with the condition.
A new study reveals the gut has a much more direct connection to the brain through a neural circuit that allows it to transmit signals in mere seconds. The findings could lead to new treatments for obesity, eating disorders, and even depression and autism—all of which have been linked to a malfunctioning gut.
New research shows musical improvisation improves cognitive flexibility and increases inhibitory control.
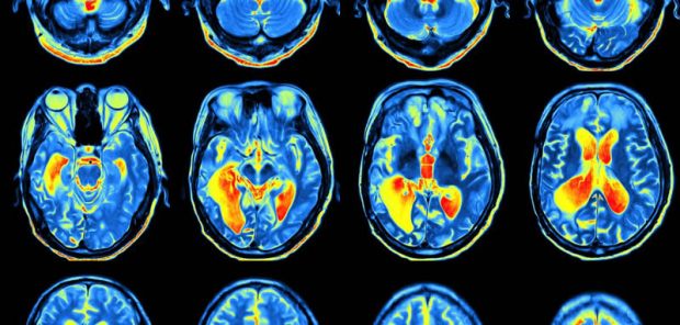
A UCLA-led study has found that MRI scans can help doctors distinguish whether a person’s memory loss is being caused by Alzheimer’s disease or by traumatic brain injury.
A new study suggests a longer duration of estrogen exposure hormone therapy was associated with better cognition in older adult women.