
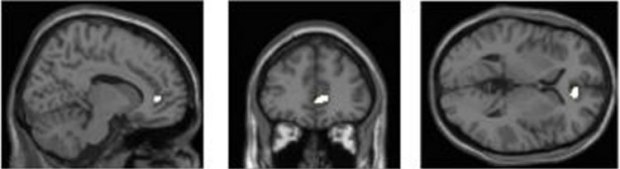
The study by Kep Kee Loh and Dr Ryota Kanai found that grey-matter density in the highlighted region of the brain (anterior cingulate cortex) was negatively associated with the amount of media multitasking activity. Credit Kep Kee Loh & Ryota Kanai.
Simultaneously using mobile phones, laptops and other media devices could be changing the structure of our brains, according to new University of Sussex research.
Breathing meditation is a powerful ally for military veterans recovering from post-traumatic stress disorder (PTSD), according to research recently published in the Journal of Traumatic Stress.
Areas of the brain that respond to reward and pleasure are linked to the ability of a drug known as butorphanol to relieve itch, according to new research.
An international research team has identified gene mutations causing severe, difficult-to-treat forms of childhood epilepsy.
A chemical in the brain plays a vital role in controlling the involuntary movements and vocal tics associated with Tourette Syndrome (TS), a new study has shown.
Finally this week, the traditional understanding in neuroscience is that tactile sensations from the skin are only assembled to form a complete experience in the cerebral cortex, the most advanced part of the brain. However, this is challenged by new research findings from Lund University in Sweden that suggest both that other levels in the brain play a greater role than previously thought, and that a larger proportion of the brain’s different structures are involved in the perception of touch.





