
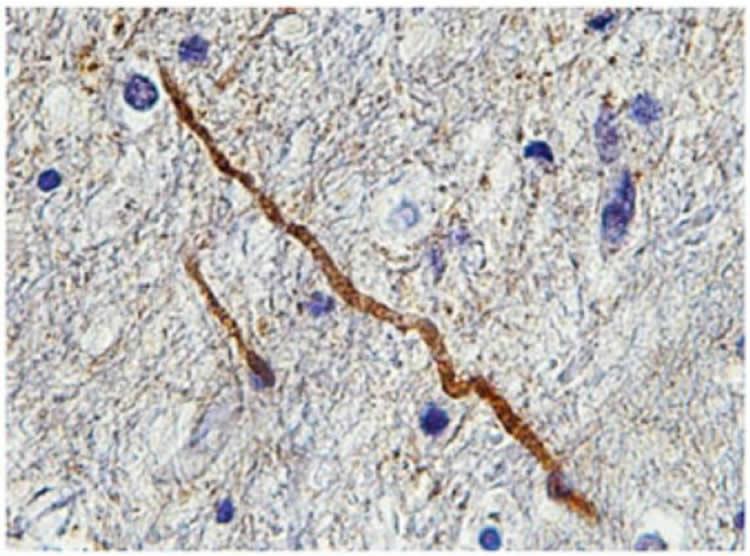
SNTF stained axons (brown) shortly after traumatic brain injury are pictured. The undulating course suggests damage to the internal skeleton, and the SNTF stain shows the high calcium concentration- activated enzymes that destroy the axon from the inside out. Credit: The laboratory of Douglas Smith, MD, Perelman School of Medicine, University of Pennsylvania.
Physicians and others now recognize that seemingly mild, concussion-type head injuries lead to long-term cognitive impairments surprisingly often. A brain protein called SNTF, which rises in the blood after some concussions, signals the type of brain damage that is thought to be the source of these cognitive impairments, according to a new study.
About one third of people with depression have high levels of inflammation markers in their blood. New research indicates that persistent inflammation affects the brain in ways that are connected with stubborn symptoms of depression, such as anhedonia, the inability to experience pleasure.
Scientists have reported measurements of dopamine release with unprecedented temporal precision in the brains of people with Parkinson’s disease. The measurements, collected during brain surgery as the conscious patients played an investment game, demonstrate how rapid dopamine release encodes information crucial for human choice.
Scientists have uncovered a mechanism in the brain that could account for some of the neural degeneration and memory loss in people with Alzheimer’s disease.
Regardless of gender, young adults who have greater aerobic fitness also have greater volume of their entorhinal cortex, an area of the brain responsible for memory. Better aerobic fitness however does not appear to impact hippocampal volume, another area in the brain responsible for memory.
A new scientific model that incorporates the myriad drivers of depression could lead to more precise treatment for an illness that affects 350 million worldwide.
Finally this week, could staying physically active improve quality of life by delaying cognitive decline and prolonging an independent lifestyle? A new study has found that older adults who take more steps either by walking or jogging perform better on memory tasks than those who are more sedentary.